ក្មេងស្រីម្នាក់ អាយុ៥ឆ្នាំ លួចលេបស្ករកៅស៊ូ មិនឱ្យម្តាយដឹងរាប់ខែ ត្រូវបានក្រុមគ្រូពេទ្យគន្ធបុប្ផា ជួយសង្រ្គោះជីវិតដោយជោគជ័យ
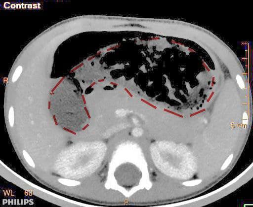
នៅថ្ងៃទី១៨ ខែមេសា ឆ្នាំ២០២៣ យោងតាមគណនីហ្វេសប៊ុកមួយឈ្មោះ Dr. Beat Richner បានបង្ហាញពីករណីក្មេងស្រីតូច អាយុ៥ឆ្នាំ តែងតែលួចញ៉ាំស្ករកៅស៊ូ មិនឲ្យម្តាយដឹងរាប់ខែមកហើយ ព្រោះថាផ្អែមឆ្ងាញ់ ដោយក្មេងស្រីនោះ បានលេបស្ករកៅស៊ូ ចូលបន្តិចម្តងៗ ជាច្រើនខែឆ្នាំ ត្រូវបានក្រុមគ្រូពេទ្យគន្ធបុប្ផា ជួយសង្រ្គោះជីវិតវះកាត់ក្រពះពោះវៀន ដល់ទៅ២លើក ទើបយកដុំស្ករកៅស៊ូនោះចេញបាន។

នៅក្នុងគណនីហ្វេសប៊ុករបស់ Dr. Beat Richner បានសរសេររៀបរាប់ថា៖ «សូមឱ្យអាណាព្យាបាលមើលថែកូនចៅតូចៗ ឲ្យបានល្អ ក្មេងៗខ្លះ ចេះតែញ៉ាំរបស់មិនរំលាយអាហារ រាល់ថ្ងៃដដែលៗ (ជាទម្លាប់ចំឡែកនិងកម្រកើតមាន និងច្រើនកើតមានលើក្មេងស្រី) បង្កើតបានជាដុំរឹងស្ទះក្នុងក្រពះឬក្នុងពោះវៀន គេហៅថា “ដុំប៊ីហ្សូអារ” ។
ក្នុងនោះ មានករណីក្មេងស្រីតូច អាយុ៥ឆ្នាំនេះ ចេះតែលួចញ៉ាំស្ករកៅស៊ូ មិនឲ្យម្តាយដឹងរាប់ខែមកហើយ ព្រោះថាផ្អែមឆ្ងាញ់ ដោយម្តាយជាអ្នកលក់ចាប់ហ៊ួយនិងស្ករកៅស៊ូនោះផង ដុំស្ករកៅស៊ូ ដែលនាងលេបចូល បន្តិចម្តងៗ ជាច្រើនខែឆ្នាំ បង្កើតបានជាដុំកៅស៊ូមួយយ៉ាងធំស្ទើរប៉ុនទំហំក្រពះ ធ្វើឲ្យស្ទះក្រពះនិងពោះវៀន នាងត្រូវបានក្រុមគ្រូពេទ្យគន្ធបុប្ផា ជួយសង្រ្គោះជីវិត ដោយឆ្លុះថតក្រពះ និងទីបំផុតត្រូវវះកាត់ក្រពះពោះវៀន ដល់ទៅ២លើក ទើបយកដុំស្ករកៅស៊ូនោះបាន។ អរគុណគន្ធបុប្ផា រាល់ការព្យាបាល ទាំងអស់ គឺឥតគិតថ្លៃ សម្រាប់គ្រប់ៗគ្នា ដោយគ្មានការរើសអើង អរគុណមូលនិធិគន្ធបុប្ផាស្វីស និងមូលនិធិគន្ធបុប្ផាកម្ពុជា អរគុណចំពោះសប្បុរសជនគ្រប់ៗរូប ដែលតែងតែគាំទ្រដល់ដំណើរការមន្ទីរពេទ្យគន្ធបុប្ផា ៕ »


ប្រភព៖ Dr. Beat Richner