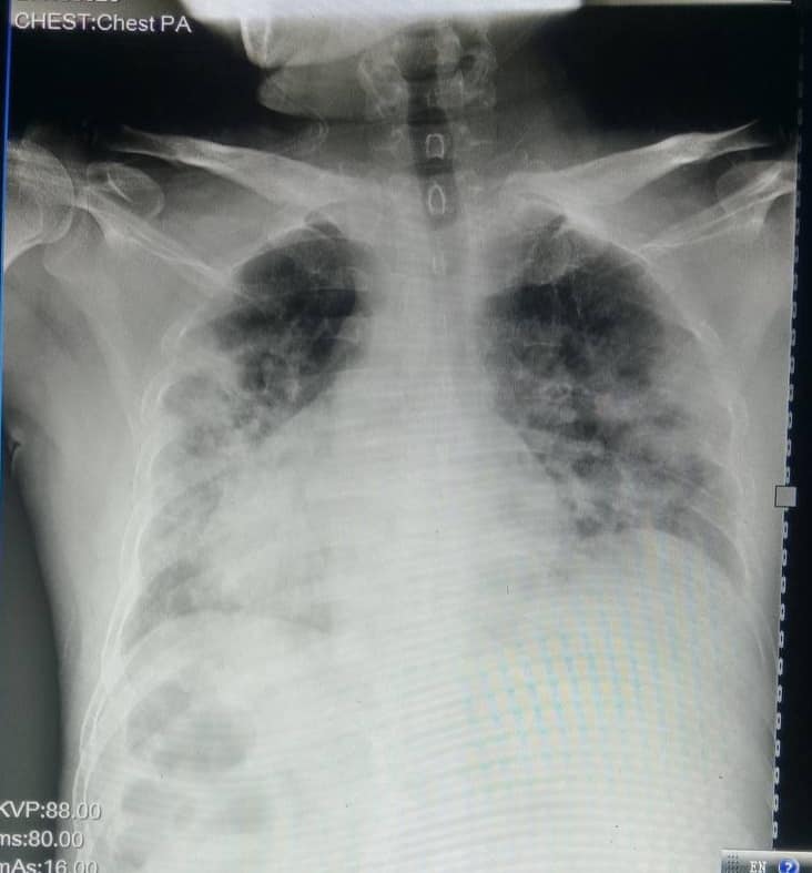
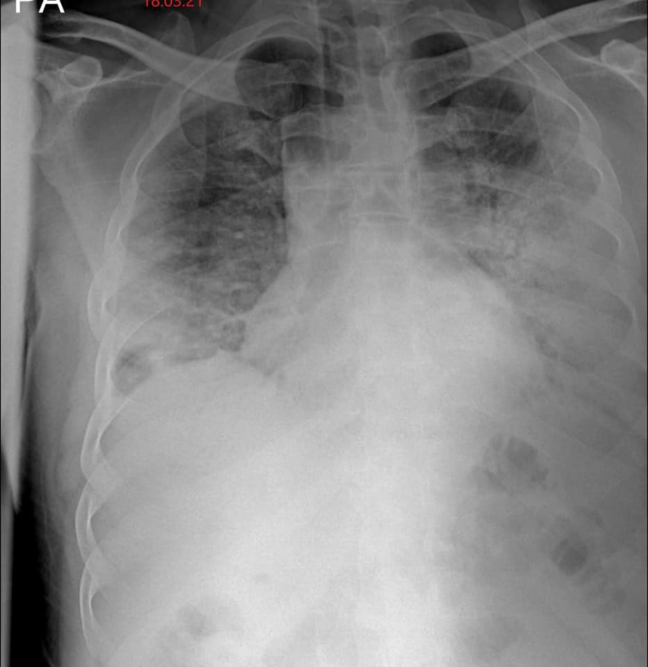
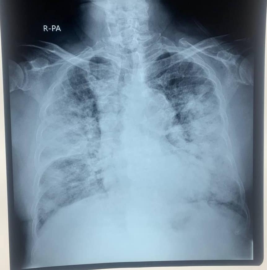
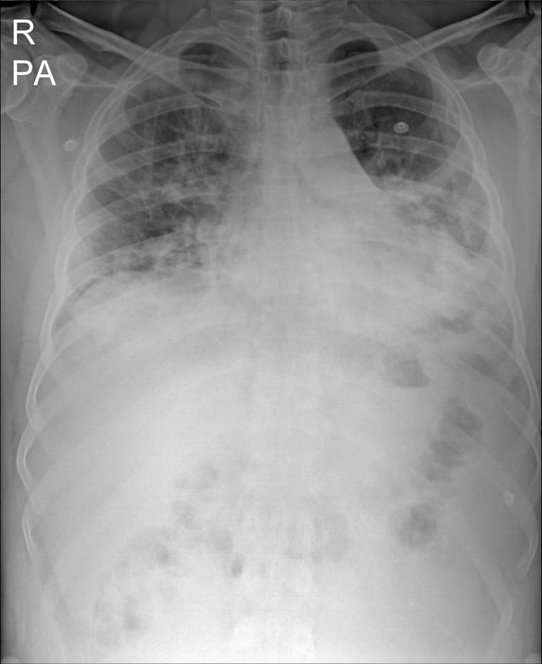
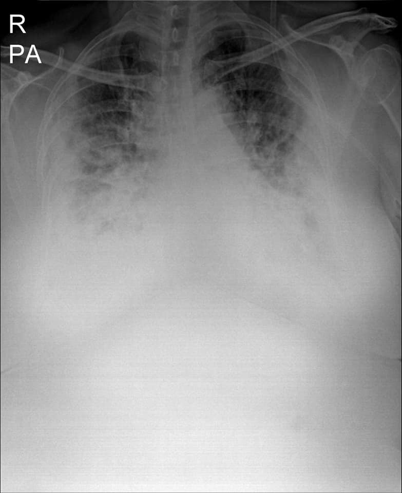
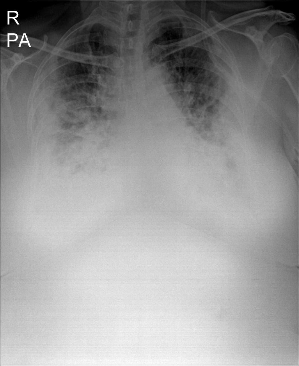
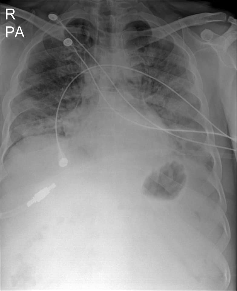
វេជ្ជបណ្ឌិតជួរមុខម្នាក់ បង្ហាញអារម្មណ៍ភ័យខ្លាច ព្រួយបារម្ភចំពោះកូវីដប្រែរូបថ្មី ក្នុងរយៈពេលតែ2ទៅ5ថ្ងៃវាវាយលុកចូលសួតធ្វើអោយរលាកធ្ងន់ធ្ងរទាំងសងខាង
លោកវេជ្ជបណ្ឌិតសាស្ត្រាចារ្យមហាបរិញ្ញា វ៉ាន់ មិច ឯកទេសព្យាបាលជំងឺសួត ជំងឺហឺត និង អាលែកហ្សី បានបង្ហាញអារម្មណ៍ភ័យខ្លាច និងព្រួយបារម្ភ ចំពោះកូវីដ១៩ ប្រភេទមេរោគប្រែរូបថ្មី ដែលក្នុងរយៈពេលតែ2ទៅ5ថ្ងៃវាវាយលុកចូលសួតធ្វើអោយរលាកធ្ងន់ធ្ងរទាំងសងខាង។ លោកវេជ្ជបណ្ឌិតជួរមុខមួយរូបបានរៀបរាប់លើបណ្តាញសង្គមផ្ទាល់ខ្លួនរបស់លោកថា៖

“មានបទពិសោធន៍ជាង1ឆ្នាំក្នុងគ្រប់គ្រង និងព្យាបាលជំងឺកូវីដដោយគ្មានការភ័យខ្លាចឬតក់ស្លុតឡើយ ។ តែក្នុង1ខែចុងក្រោយនេះចាប់ពី 20 កុម្ភៈ 2021 ខ្ញុំមានអារម្មណ៍ភ័យខ្លាច និងព្រួយបារម្ភណាស់ ពីព្រោះវាជាប្រភេទមេរោគប្រែរូបថ្មី (variant virus strain) ដែលក្នុងរយៈពេលតែ2ទៅ5ថ្ងៃវាវាយលុកចូលសួតធ្វើអោយរលាកធ្ងន់ធ្ងរទាំងសងខាង ។ រូបភាពសួតត្រូវបានមេរោគស៊ីសុះសាច់ដ៏គួអោយខ្លាច ។
គ្មានថ្នាំណាអាចសម្លាប់វាបានទេ គឺមានតែអនុវត្តន៌អោយបានដាច់ខាតតាមប្រសាសន៌របស់សម្តេចអគ្គមហាសេនាបតីតេជោ ហ៊ុន សែន គឺ 3កុំ 3ការពារទេទើបអាចទប់ស្កាត់ ឬកាត់បន្ថយការឆ្លងរាតត្បាតនៃមេរោគនេះ ។
សូមបួងសួងដល់ព្រះ និងវត្ថុស័កសិទ្ធក្នុងលោកជួយតាមថែររក្សាសម្តេចអគ្គមហាសេនាបតីតេជោហ៊ុន សែន និងសម្តេចគតិព្រឹទ្ធបណ្ឌិត និងក្រុមគ្រួសារ ដល់ថ្នាក់ដឹកនាំប្រទេស ប្រជាជនខ្មែរទាំងអស់ ក្រុមគ្រួសារខ្ញុំនិងខ្លួនខ្ញុំផ្ទាល់បានជៀសផុតពីជំងឺនេះ និងសូមអោយមេរោគនេះសាបរលុតចាកផុតពីប្រទេសខ្មែរយើងឆាប់ៗ”៕









