បុរសម្នាក់ចេះមានអាការៈហើមពោះ ណែនពោះ ជាង១ឆ្នាំលេបថ្នាំអីក៏មិនបាន ក៏សម្រេចទៅពេទ្យពិនិត្យទើបដឹងការពិត
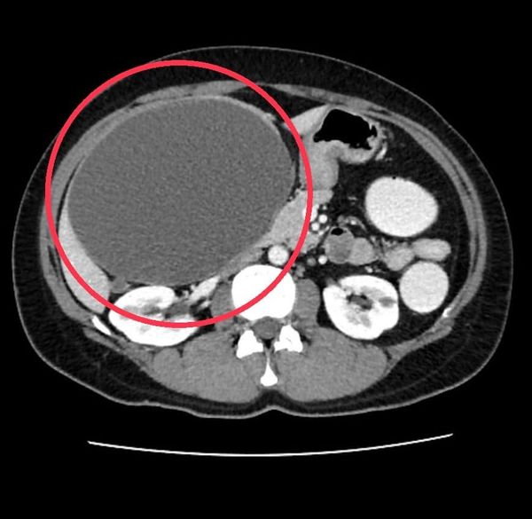
ថៃ៖ កាលពីពេលថ្មីៗនេះ លោកវេជ្ជបណ្ឌិត Arak Wongvorachat ប្រធានមន្ទីរពេទ្យ Sichon ខេត្ត Nakhon Si Thammarat បានបង្ហោះសារតាមរយៈ Facebook លោក Arak Wongworachat រៀបរាប់ពីករណីដែលបានរកឃើញនៅក្នុងអ្នកជំងឺម្នាក់ ដែលមាន ដុំគីសធំទំហំ ២០ សង់ទីម៉ែត្រនៅជាប់ថ្លើម។

បើតាមការរៀបរាប់របស់លោកវេជ្ជបណ្ឌិតយ បានឲ្យដឹងថា អ្នកជម្ងឺអាយុ ៤៤ឆ្នាំ មានអាការៈហើមពោះ ណែនពោះ អស់រយៈពេលជាង ១ឆ្នាំ ដោយព្យាបាលខ្លួនឯងទៅតាមអាការៈ។ ក្រោយមកទៀត ពោះក៏ចាប់ផ្តើមធំឡើងៗ ក្នុងរយៈដ៏លឿន ដូចអ្នកមានផ្ទៃពោះ ហើយមានអារម្មណ៍តានតឹង និងតឹងណែនរាល់ដងនៅពេលដែលត្រូវសម្រាន្តកន្លែងរាបស្មើរ ដូច្នេះទើបលោកសម្រេចចិត្តទៅពិនិត្យនៅមន្ទីរពេទ្យមួយកន្លែង ក្រោយលទ្ធផលចេញមកបង្ហាញថា ឃើញមានដុំគីសធំមួយនៅជាប់នឹងថ្លើម។

ក្រោយពិនិត្យឃើញ អ្នកជំងឺសម្រេចចិត្តទទួលការវះកាត់ ដោយវេជ្ជបណ្ឌិតជំនាញ ហើយការវះកាត់ក៏ប្រកបដោយជោគជ័យផងដែរ ដោយរបួសរបស់អ្នកជម្ងឺគឺឆាប់សាស្រ្តណាស់ ដូច្នេះប្រសិនបើបងប្អូនមានអាការៈស្រដៀងករណីខាងលើនេះ គួរប្រញាប់ទៅពិនិត្យនៅមន្ទីរពេទ្យជាបន្ទាន់ដើម្បីទប់ស្កាត់ការរាលដាលបង្កជាបញ្ហាធំជាងនេះ៕
ប្រភព៖ sanook
អត្ថបទ៖ Bee